Dr.Mukesh Kumar
Orthodontist
Dr. Mukesh has provided high-quality and personalized care to thousands of patients since 24 years. He is experienced, skilled and dedicated orthodontist. He is also a professor and Ph.D guide of a reputed dental college. He is an Invisalign provider. He aims to get a perfect smile to suit patient’s face. Providing services to all ages, he is committed to making sure each patient is happy and satisfied after every visit.
Experience the smile for yourself
---Dr. Mukesh’s Patient
Benefits of Braces
BE CONFIDENT
WITH YOUR
SMILE!
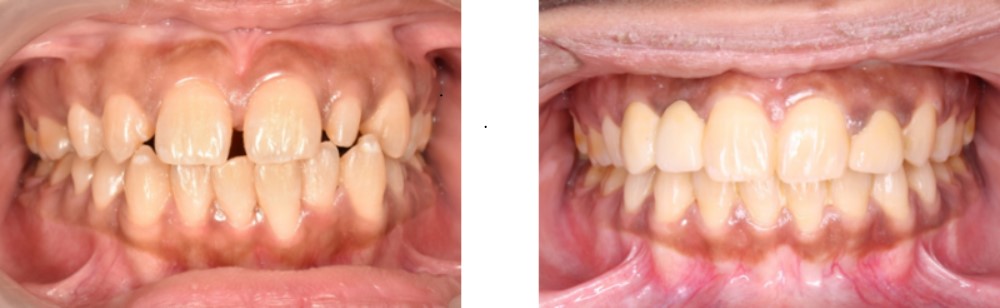
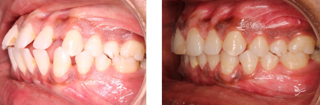
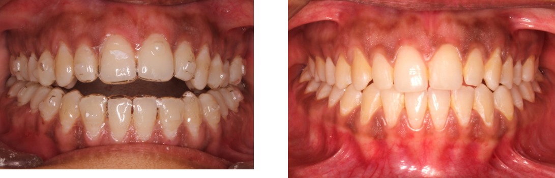
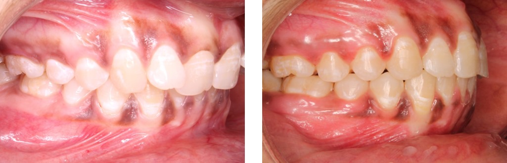
Smile Gallery: Witness the Change








----Trusted by many----
Your smile deserves confidence
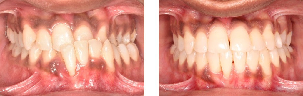
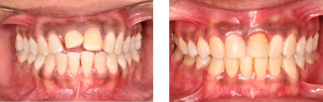
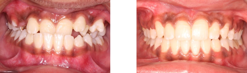
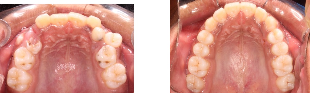
Look what orthodontic treatment does to your teeth
From day one to a beautiful smile — time-lapse transformation!
Dental Implant
Implant success stories
Publication
-----Real Smiles, Real Stories-----
See how many lives has been transformed
⭐5.0/5.0 on Google Reviews
Posted on NawabTrustindex verifies that the original source of the review is Google. Best for braces treatmentPosted on Ritik GoswamiTrustindex verifies that the original source of the review is Google. Best in dental implants and hygienic dentistryPosted on nitin kumarTrustindex verifies that the original source of the review is Google. Got dental implant done for full mouth 5 years back. Satisfied with treatment. Just got check up donePosted on Dk DilkhushTrustindex verifies that the original source of the review is Google. I got treatment done for my wife with clear aligners. Best orthodontist in vasant kunjPosted on सीधे पहाड़ से लाइवTrustindex verifies that the original source of the review is Google. Higghly recommend dr mukesh for treatment of loose teeth in Vasant KunjPosted on Urmila Singh cut & style makelup artist SinghTrustindex verifies that the original source of the review is Google. V good orthodontist .Got alignment done fr my daughter with Invisalign treatment.we are happyPosted on Kumar RajTrustindex verifies that the original source of the review is Google. Got 5 dental implants for myself, procedure was painless . Satisfied with resultsPosted on Bhawna AryaTrustindex verifies that the original source of the review is Google. I got treatment for bleeding gum. Happy with resultPosted on Office.alisha SiddiquiTrustindex verifies that the original source of the review is Google. Best onePosted on Amit KumarTrustindex verifies that the original source of the review is Google. Experienced orthodontistLoad more
Frequently asked questions: Simplified!
What is orthodontic treatment and why is it needed?
Orthodontic treatment helps straighten teeth, fix bite problems, and improve both the appearance and function of your smile. It uses braces or clear aligners to gently move your teeth into the right position. You may need treatment if you have: Crooked or crowded teeth Gaps between teeth Overbite, underbite, or crossbite issues Aligned teeth are easier to clean, reduce the risk of cavities and gum disease, and boost your confidence.
What age is best to start orthodontic treatment?
Orthodontic treatment can be done at any age. However, the best time to start is usually between 9 and 14 years, when most permanent teeth have come in. Adults can also benefit greatly from orthodontic treatment. It’s never too late to get the smile you’ve always wanted!
What types of braces are available?
We offer different types of braces to suit your lifestyle and needs:
- Metal Braces: Strong and effective for all types of cases
- Ceramic Braces: Tooth-coloured, more discreet
- Self-Ligating Braces: Comfortable and easy to clean
- Clear Aligners: Removable and nearly invisible
During your consultation, we’ll help you choose the option that’s best for you.
Do braces hurt?
How long will treatment take?
How often will I need to visit during treatment?
Most patients visit the clinic every 4 to 8 weeks. These regular appointments are important for:
- Adjusting braces or aligners
- Monitoring progress
Preventing delays in your treatment
Can I eat normally with braces?
You can eat most foods, but it’s best to avoid:
- Sticky foods (gum, caramel)
- Hard foods (nuts, popcorn, ice)
- Chewy foods (bagels, candy)
Cutting food into small pieces and chewing carefully helps protect your braces.
How do I take care of my teeth during treatment?
Good oral hygiene is essential with braces or aligners:
- Brush after every meal
- Floss daily (use floss threaders or water flossers)
- Use orthodontic cleaning tools
- Visit your dentist for routine check-ups and cleanings